18岁的小林最近总觉得腿又麻又痛,起初以为是运动后肌肉拉伤,休息几天却不见好转,甚至疼得影响走路。到我院脊柱微创外科就诊,检查后结果让家长大吃一惊:腰椎间盘突出,突出的髓核已经压迫到了神经。
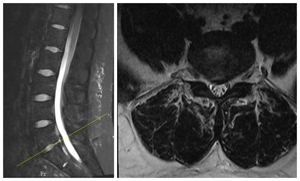
入院检查腰椎磁共振
提到腰椎间盘突出,很多人会觉得这是中老年人的“专利”,但近年来,青少年患者并不少见。长期久坐刷题、低头玩手机、坐姿不端正、剧烈运动损伤等,都可能让青少年的腰椎提前“亮红灯”。当突出的椎间盘压迫到神经根时,就会出现下肢疼痛、麻木、无力等症状,若不及时干预,可能影响正常生长发育和日常生活。
经小林的爸爸与脊柱微创外科三病区贺毅副主任医师团队沟通后,决定采取微创椎间孔镜,精准解决“突出”问题,相比传统开放手术,椎间孔镜手术有切口小(仅缝1-2针)、出血少(通常不足10毫升)、术后疼痛轻、对腰椎稳定性影响小等优势,能最大程度保护青少年正在发育的脊柱结构,为术后快速恢复奠定基础。
术后腰椎磁共振
手术成功只是第一步,科学的术后康复对青少年回归正常学习生活至关重要,需分阶段稳步进行:
术后初期要避免剧烈活动,卧床时可适当进行踝泵运动(勾脚、伸脚),促进下肢血液循环,预防血栓。起身时需注意“侧身屈膝”,避免弯腰用力,减轻腰椎负担。伤口愈合后(约1周)可在医生指导下佩戴护腰缓慢行走,每次10-15分钟,每天2-3次,逐步适应直立状态。
踝泵运动
随着疼痛缓解,可开始进行针对性的腰背肌训练,比如“小燕飞”(俯卧,双臂后伸,双腿抬起,腹部贴床)、“五点支撑”(仰卧,用头、双肘、双脚支撑身体,抬臀使腰腹离开床面),每组10-15次,每天2-3组,增强腰背肌肉力量,为腰椎“减负”。
同时,可逐渐增加日常活动量,如短距离散步、上下楼梯(避免负重)。
小燕飞
此阶段可尝试恢复轻度日常活动,如坐直看书、写作业(每次不超过30分钟,定时起身活动)。护腰佩戴时间逐渐缩短(从全天佩戴改为久坐、活动时佩戴),避免形成依赖。
同时要注意坐姿:腰部挺直,膝盖与臀部同高,脚下可垫个小凳子,减少腰椎压力。
回到学校后,需格外注意日常习惯:
每坐30-40分钟,起身活动5分钟,做简单的伸腰、扩胸动作; 避免课间趴在课桌上睡觉(易弯腰驼背,增加腰椎压力); 书包选择双肩背,重量控制在体重的10%以内,避免单肩挎包; 体育课暂免剧烈运动(如跑步、跳跃、球类),可选择散步、游泳(蛙泳除外)等低强度运动,具体恢复时间遵医嘱。
青少年腰椎间盘突出并不可怕,只要及时发现、科学治疗,结合规范的术后康复,大多数患者都能顺利回归校园,重拾正常的学习和生活。家长和孩子都要提高警惕,若出现下肢疼痛、麻木等症状,及时就医检查,别让“小问题”拖延成“大麻烦”。让科学的医疗和康复,为青少年的健康成长保驾护航。



